OsiriX MD Nedir?
OsiriX MD, tam radyoloji incelemelerinde etkin bir şekilde görüntülemenizi ve görüntülerin kullanım kolaylığı ile tam olarak gözden geçirilmesini sağlamak için geliştirilmiştir.
OsiriX MD; ultra hızlı performans ve sezgisel etkileşimli kullanıcı arayüzü ile, dünyada en çok kullanılan tıbbi görüntü görüntüleyicisidir.
Dijital görüntülemede 10 yıldan fazla araştırma ve geliştirmenin sonucudur. İş akışı ortamınıza kolay entegrasyon için DICOM standardını ve işleme araçlarının geliştirilmesi için açık bir platformu tamamen destekler. 2D ve 3D’de gelişmiş post-processing teknikleri, PET-CT ve SPECT-CT füzyonu dahil 3D & 4D navigasyon için özel yenilikçi teknikler ve herhangi bir PACS sunucusuyla tam bir entegrasyon sunar.
CD, DVD, USB bellek, web sitesinden herhangi bir tıbbi görüntüyü (DICOM dosyaları) alabilir ve görüntüleyebilir.
OsiriX MD (FDA, CE, ANVISA) klinik kullanım için onaylanmıştır.
OsiriX MD tıpta klinik kullanım için sertifikalıdır ve 2D ve 3D’de gelişmiş post-işleme teknikleri, PET-CT ve SPECT-CT desteği dahil 3D & 4D navigasyon için özel yenilikçi teknik ve herhangi bir PACS ile tam bir entegrasyon sunar.
OsiriX MD aynı zamanda bir radyoloji departmanı için eksiksiz bir tıbbi görüntüleme iş istasyonu ve hastalarının tarayıcılarını ve MR’larını incelemek için bir pratisyen veya cerrah için ideal bir arkadaştır.
OsiriX MD tıpta tanısal görüntüleme için FDA tarafından Sınıf II Tıbbi Cihaz olarak onaylanmıştır. OsiriX MD, tıbbi cihazlar (CE etiketli) ile ilgili 93/42 / EEC Avrupa Direktifine uygundur. Bu direktif uyarınca, Sınıf IIa ürünü olarak kabul edilir.
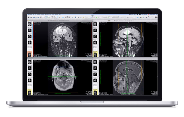
OsiriX MD, DICOM görüntüleri görüntülemek için sezgisel bir arayüz içerir. Retina ekran desteği ile en iyi renderleme için yüksek kaliteli enterpolasyonu destekler.
Çizgiler, çokgenler, 3B top gibi görüntülere Anahtar Görüntüler ve İlgi Alanları (ROI’ler) kolayca ekleyebilir ve bunları veritabanına kaydedebilirsiniz.
Kemik veya akciğer filtreleri gibi görüntülere kıvrım filtresi uygulayabilirsiniz.
OsiriX MD, kardiyak veya perfüzyon alımları gibi 4D görüntüleri ve PET-CT görüntüleri gibi parametrik görüntüleri destekler.
Birden çok ekran desteğiyle ‘Askı Protokolleri’ni tanımlayabilirsiniz.
3D Post-Processing
OsiriX MD, MPR (Çok düzlemli Rekonstrüksiyon), 3D Rendering (MIP, Hacim İşleme ve Yüzey İşleme) gibi tüm modern post-processing tekniklerini sunar.
OsiriX MD, aort veya bronşlar gibi organları takip etmek için kavisli düzlemsel rekonstrüksiyonu (3D-MPR) destekler.
3D rekonstrüksiyon görüntülerini film olarak dışa aktarabilir ve PACS’nizde arşivleyebilirsiniz.














